Orthopedics
Who We Are and What We Do for You

Riverside Orthopedic Total Joint Specialists

At Riverside, our total joint replacement program is built around one goal – getting you back to the life you love, with less pain and more mobility. Whether you’re dealing with chronic hip, knee, shoulder or ankle pain, our team of fellowship-trained orthopedic surgeons is here to guide you every step of the way. Explore the different types of joint replacement surgeries we offer, including detailed information about what to expect before, during and after your procedure.

Additional Resources

Find What You Need When You Need It

Orthopedic Locations

Find a Riverside Orthopedic and Sports Medicine location near you

OrthoConnect

Orthopedic Urgent Care that’s available at all Orthopedic locations, offering same or next business day appointments in most cases. Call 757-534-5600 to make your appointment now or schedule online.

Billing and Payment Options

Have questions about whether your insurance is accepted? Do you need a care estimate of services or more information about billing and payment options? We’re here to help!

Frequently Asked Questions

Considering total joint replacement? Explore our frequently asked questions to learn more about conditions, treatments and how to prepare for your next appointment.

Same-Day Total Joint Surgery
Dr. Halawi Explains the Benefits of Same-Day Surgery

Same-day joint replacement surgery allows patients to begin their recovery almost immediately, often walking within hours of their procedure. For the right patients, it’s a safe, effective option that helps restore mobility and confidence sooner. To schedule an appointment with Dr. Halawi or with an available Riverside orthopedic specialist, visit riversideonline.com/schedule or call 757-534-9988.

Find the Right Total Joint Surgery for You

Total Ankle Replacement Surgery

Learn about total ankle replacement surgery, a procedure that can provide relief for individuals suffering from severe ankle pain wherein your surgeon removes the damaged joint and replaces it with an artificial joint (prosthetic implant). Discover the benefits, risks and recovery process involved in this surgical treatment option.

Total Hip Replacement Surgery

When you choose Riverside for your orthopedic care, you have the support of an entire team of fellowship-trained orthopedic surgeons, board-certified anesthesiologists, certified nurse practitioners and specialized orthopedic physical therapists to help you improve your health.

Total Knee Replacement Surgery

If you or your loved one is experiencing knee pain that keeps you from doing the things you love, it’s time to talk to our joint replacement surgery experts at Riverside. We provide a range of solutions that will improve your mobility and alleviate your pain.

Total Shoulder Replacement Surgery

Learn about total shoulder replacement surgery, a procedure that can provide relief for individuals suffering from severe shoulder pain and limited mobility. Discover the benefits, risks and recovery process involved in this surgical treatment option.

Meet the Rest of the Orthopedic Team

Providing efficient and effective care for any specialized orthopedic need.

Your Orthopedic Team

Learn More About Total Joint Conditions and Treatments

Find out more about total joint injuries, conditions and some available treatments and learn how the expert subspecialized surgeons at Riverside use the latest techniques to relieve pain and improve function so you can return to the activities you enjoy.
total hip thumbnail
youtube video icon larger

Type

Video

Total Hip Replacement

Learn about the anatomy of the hip and how a total hip replacement is performed.

Function of a hip replacement surgery is in frontal view -
blog icon

Type

Blog

Learn When Total Hip Replacement Surgery May Be Right for You

Close-up of a knee joint affected by arthritis, showing red, inflamed patches on bone surfaces, suggesting pain and swelling in affected areas.
youtube video icon

Type

Video

Learn More About the Knee and About Total Knee Replacement Surgery

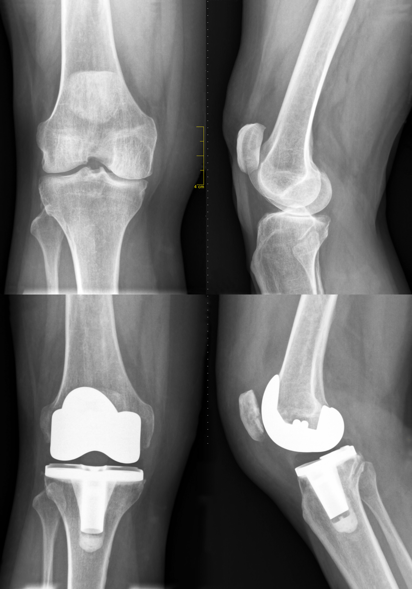
Knee X-ray image before and after a total knee replacement operation. The diseased knee joint (damaged cartilage) is replaced with artificial material (White parts = prosthesis). Frontal view and side-view.
blog icon

Type

Blog

Learn the Difference Between a Partial vs. Total Knee Replacement

Man suffering from knee pain while stepping up the stairs
blog icon

Type

Blog

Dr. Hospodar Explains His Approach to a Total Knee Replacement

Pay Your Bill Easily Online

You can pay your hospital, doctor's office, diagnostic, senior living and emergency room bill all online. Learn more about Riverside Bill Pay and conveniently pay your bill online.